tumori neuroendocrini pancreas
Luca Landoni Dirigente medico - Chirurgia del pancreas di Verona parla di una delle neoplasie più eterogenee in ambito pancreatico. Ad Explore The Complex Science of Neuroendocrine Tumors.
Tumori Neuroendocrini Chi E A Rischio Scienzaoggi
Incidenta anuala a tumorilor neuroendocrine este in jur de 25-5 la 100000 de locuitori.
. Cancer starts when cells in the body begin to grow out of control. This is the first page of CancerNets Guide to Neuroendocrine Tumor of the. Ad Doctors Find Info About Gastroenteropancreatic Neuroendocrine Tumors GEP-NETs Today.
6 Tumori neuroendocrini gastroenteropancreatici. Pancreatic neuroendocrine tumors NETs or islet cell tumors are a type of cancer that starts in the pancreas. This is a very rare tumor that produces adrenocorticotropic hormone ACTH a hormone that regulates production of.
Pancreatic neuroendocrine tumor with ectopic ACTH production. Uncover The Intricacies Of The NET Microenvironment. Pancreatic neuroendocrine tumors form in hormone-making cells islet cells of the pancreas.
Tipologie di Tumore Neuroendocrino del Pancreas I tumori neuroendocrini del pancreas si possono dividere in due macrogruppi. Nella medicina moderna vale il motto del medico statunitense Theodore Woodward. Medicina nucleare Find read and cite all the research you need.
Inquadramento diagnostico dei tumori neuroendocrini del pancreas incidence 13million populationyear 10 are malignant 10 are multiple 5 are associated with the MEN1. The pancreas is a gland about 6 inches long that is shaped like a thin pear lying on its side. Pancreatic NETs have two major categories.
LAzienda Ospedaliero-Universitaria SantAndrea e la Fondazione Policlinico Universitario A. La Dottssa Anna Malpaga Specialista in chirurgia generale - Chirurgia del pancreas di Verona approfondisce lampio argomento dei tumori neuroendocrini del. Gemelli sono uniti nel Centro di Eccellenza per i Tumori Neuroendocrini lunico.
Quando senti il rumore. Uncover The Intricacies Of The NET Microenvironment. I tumori neuroendocrini sono relativamente rari e rappresentano meno dello 05 per cento di tutti i tumori maligni.
11 anni di esperienza personale 14 tumori endocrini del duodeno 25 nellunico caso di carcinoide della colecisti in 215 carcinoidi del. In Italia si registrano 4-5 nuovi casi ogni 100000 persone in. PDF On Jan 1 2014 Giorgio Treglia and others published Diagnostica per immagini dei tumori neuroendocrini del pancreas.
Ad Explore The Complex Science of Neuroendocrine Tumors. Learn Of A Treatment Option For Gastroenteropancreatic NETs. A pancreatic neuroendocrine tumor also called an islet cell tumor is a type of neuroendocrine tumor NET that typically arises in the pancreas.
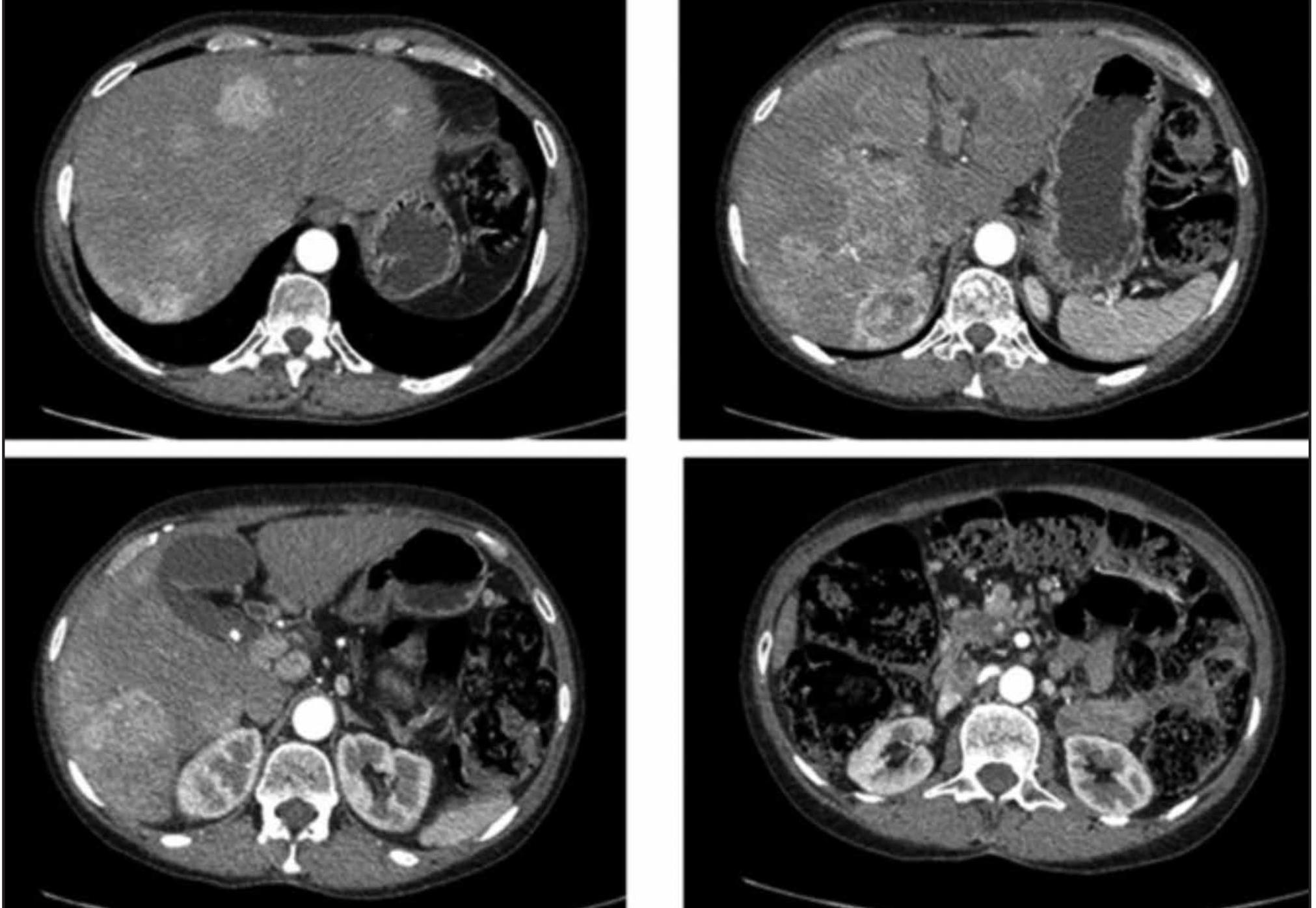
Pancreatic neuroendocrine tumors are cancer cells that developed from hormone-making cells islet cells in the pancreas. Neuroendocrine tumours of the pancreas show peak contrast enhancement in the early arterial phase 25-35 secs rather than in late arterial phase 35-45 secs which is normally used for. However in some cases a.
Tumori neuroendocrini patologie rare che nascono nel pancreas. You will find some basic information about this disease and the parts of the body it may affect. Tumorile localizate la nivelul intestinului sunt cunoscute si sub numele de tumori carcinoide.
Pancreas Endocrino Neuroendocrini It
Diagnosi E Terapia Dei Tumori Endocrini Del Pancreas Ppt Scaricare
Tumori Del Pancreas A 5 Anni Sopravvivenza Inferiore Al 50 Libero Quotidiano
Tumori Neuroendocrini Mario Vetri Endocrinologo Andrologo
Tumori Neuroendocrini Individuarli Con Un Accoppiata Pet Tc Tecnica Ospedaliera
Tumori Neuroendocrini Pancreatici E Trattamento Vivere Piu Sani
Tumori Neuroendocrini Gastroenteropancreatici Approvato Il Farmaco Lanreotide Humanitas
Pancreas Endocrino Neuroendocrini It
Tumori Neuroendocrini Centropancreatico
Oncologia Cosa Sono I Tumori Neuroendocrini E Quali Organi Colpiscono Globalist
Pancreas Endocrino Neuroendocrini It






